- YouTube
www.youtube.com
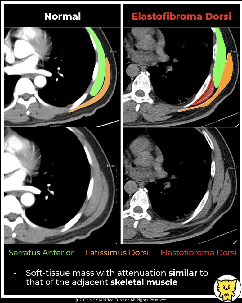
📌 Elastofibroma Dorsi
Elastofibroma dorsi is a benign soft-tissue tumor commonly found in the infrascapular or subscapular region. It is bilateral in up to 30% of cases and has a slight right-sided predilection when unilateral.
✅ Location
- Found deep to the serratus anterior and latissimus dorsi muscles.
- Poorly defined soft-tissue mass with no true capsule.
✅ CT Findings
- Poorly defined soft-tissue mass.
- Attenuation similar to adjacent skeletal muscle.
- Located in the infrascapular or subscapular region.
✅ MRI Findings
- Alternating fibrous and fatty components.
- No identifiable capsule but relatively well-defined margins.
- Fibrous component: Isointense to muscle.
- Fatty component: High signal intensity on T1WI and T2I
- Heterogeneous low-level enhancement.
✅ Key Imaging Features
- Heterogeneous signal mass deep to the serratus anterior and latissimus dorsi muscles.
- Streaky internal fat signal is a distinguishing feature.
- Signal intensity similar to skeletal muscle.
Hashtags
#ElastofibromaDorsi, #MSKRadiology, #MRI, #SoftTissueTumor, #MusculoskeletalImaging, #ShoulderMRI, #BenignTumor,





'✅ Shoulder MRI > [Case]' 카테고리의 다른 글
| 📌Intramuscular Lipoma: Key Imaging Features (0) | 2025.02.27 |
|---|---|
| Shoulder Pain in Young Males: Distal Clavicle Osteolysis (0) | 2025.02.13 |
| [Shoulder_Case_#04] [Moderate level] Parsonage turner syndrome, shoulder pain (0) | 2022.09.17 |
| [Shoulder_Case_#03] [Challenging level] Acute calcific periarthritis (0) | 2022.09.17 |
| [Shoulder_Case_#02] [Challenging level] Acute calcific periarthritis (0) | 2022.09.15 |