








고화질의 PDF를 보시고 싶으시다면 [영상의학과 공부 맛집] 카페 회원이 되어주세요~영상의학 의사들의 공부방입니다.
스터디위드 MSKMRI : 네이버 카페
MSK MRI와 즐겁게 공부하고 공유하는 영상의학과 의사들의 모임
cafe.naver.com
In the child, overuse injury of the proximal patellar tendon (Sinding-Larsen–Johansson syndrome) is a rare self-limiting condition.
SLJ is an enchondral ossification disorder of the inferior pole of the patella, and is part of the osteochondrosis spectrum of diseases.
It is a type of osteochondrosis at the proximal attachment of patellar ligament.
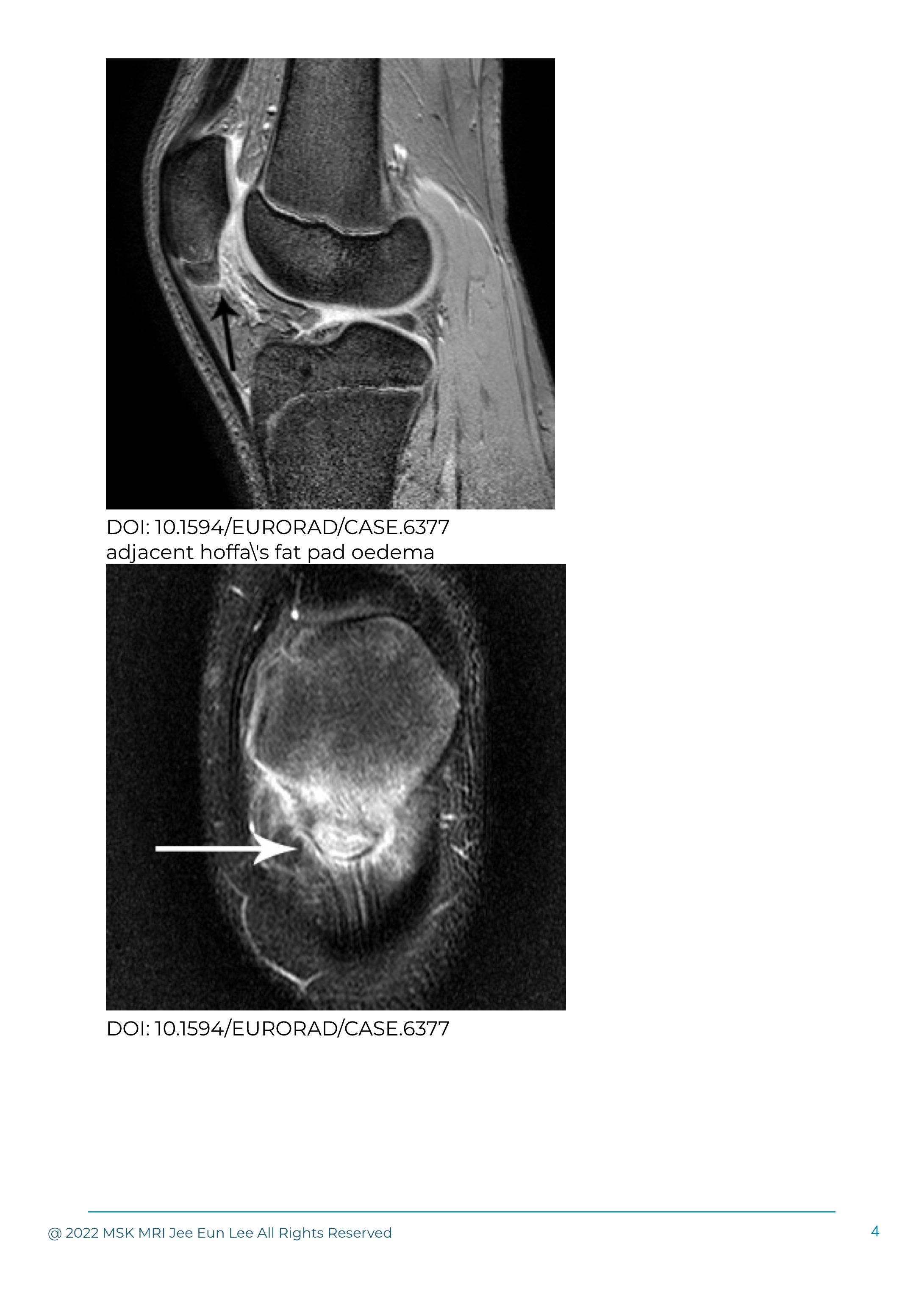
A traction tendonitis, Sinding-Larsen-Johansson syndrome results in calcification or ossification of the patellar tendon and can often be demonstrated at plain radiography.
A traction tendonitis, Sinding-Larsen-Johansson syndrome results in calcification or ossification of the patellar tendon and can often be demonstrated at plain radiography.
The chronic traction at the inferior pole of the patella results in the formation of heterotopic ossification, giving a typical imaging appearance.
Osgood Schlatter disease is a similar overuse traction injury at the insertion of the patellar tendon into the tibial tubercle.
Patellar sleeve fractures are unique to the pediatric population and are most commonly seen in the 8- to 12-year-old age group.
Avulsion of the inferior pole of the patella is a fracture seen predominantly in the immature skeleton and is often termed a ”sleeve fracture,” because a sleeve of unossified cartilage and bone is stripped off the lower pole of the patella.
#MSKMRI, #virtualMRI, #radiologist, #musculoskeletal
#KneeMRI, #Knee MRI, #kneemri,
#MSKMRI_Knee
#SLJ, #Sinding, #Larsen, #Johansson, #patella, #sleevefracture, #patellarfracture, #microtrauma, #patellartendon, #pediatricknee
#공부맛집, #영상의학, #영상의학이지은, #안산에이스병원, #acehopital, #MRI자신감키우기,
